
黄ばみを改善し、明るく白い歯に
歯はさまざまな原因で着色していきます。虫歯・コーヒーなどの着色・薬の内服による先天性の着色・加齢による着色などなど。広い意味ではこれらを白く改善することがホワイトニングです。
このようなお悩みの方へ
- 加齢による黄ばみ
- 軽度の先天性の着色
- コーヒー・紅茶・タバコなどの外来性着色
治療のご説明

[Before]
日常の着色や加齢による黄ばみ
ホワイトニング前は、日常の食事や飲み物(コーヒー・お茶・ワインなど)による着色や、加齢による黄ばみが見られます。歯の表面だけでなく内部まで色素が沈着しており、全体的にやや暗い印象のトーンになっています。

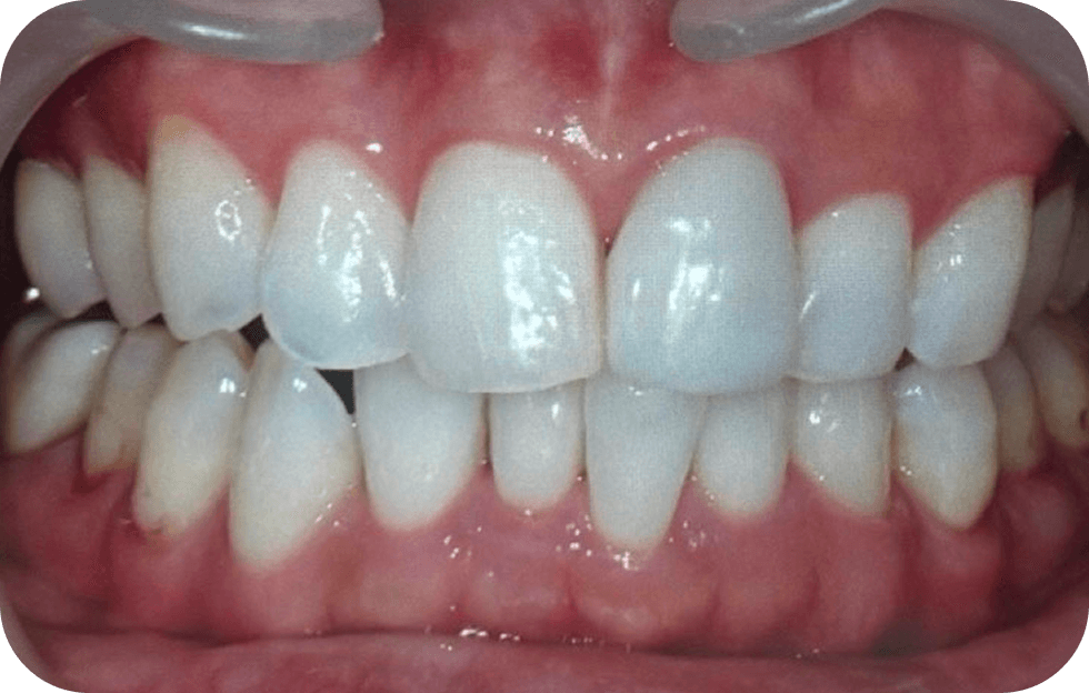
[After]
自然な白さと透明感のある仕上がりへ
ホワイトニングは、薬剤に含まれる成分(過酸化水素や過酸化尿素)が歯の内部まで浸透し、着色の原因となる色素を分解・無色化することで白くしていきます。歯の表面を削ることなく、歯そのものが持つ自然な透明感を引き出せるのが特徴です。
治療時の注意事項
- 施術中に一時的に「しみる」ことがあります(時間とともに改善)。
- 施術期間中は着色しやすい食品(カレー・コーヒー・赤ワインなど)は控えましょう。
- 虫歯や重度の変色は効果が出にくい場合があります。
治療方法の種類・料金目安
| 方法 | オフィスホワイトニング | ホームホワイトニング | デュアルホワイトニング |
| 特徴 | 歯科医院で行う即効性の高い方法。プロの管理下で短期間で効果を実感できます。 | ご自宅で専用トレーを使用し、ゆっくり自然に白くする方法。 | 上記2つを組み合わせた方法。より確実で長持ちする白さを実現します。 |
| 通院回数・期間 | 約2~3回の来院 | 約2週間の使用 | 個人差あり |
| 料金目安 | 40,000円+税 | 35,000円+税 | 70,000円+税 |
治療後のケア

半年に一度のメンテナンスで白さをキープ
ホワイトニング効果は約半年程度でゆるやかに後戻りします。再着色を防ぐため、定期的なタッチアップ(再漂白)をおすすめしています。
料金目安:15,000円+税
